来源:呼和浩特肤康皮肤病专科 统一预约挂号热线:175-2137-8895
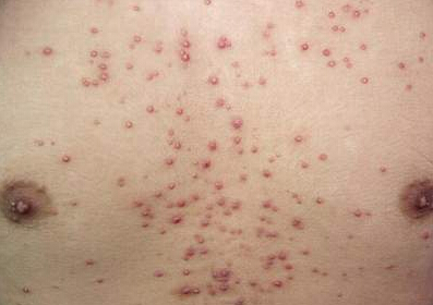
毛囊炎如果反复发作的话可能还会形成慢性的毛囊炎,如果是头皮性的毛囊炎那么可能还会引起**性的脱发,严重者可有淋巴结肿大、发热、头痛,甚至引起脓毒血症或败血症;可见毛囊炎的危害还是非常的巨大,那么针对毛囊炎到底怎么治疗才较好呢?下面让呼和浩特肤康皮肤病专科医院的医师为我们介绍下。

毛囊炎怎么治才较好? 呼和浩特肤康皮肤病专科治疗毛囊炎,是根据其临床类型、病变范围以及患者的病程长等情况,从而选择具体的治疗措施。而现在治疗毛囊炎主要采用的是“一体化中**熏蒸汽”,配以特制的中草**,并且运用的中**熏蒸汽疗舱,要力与热力的有机结合,可促进皮肤和患处对**物的吸收;
该方法主要以消炎杀菌干燥为原则,从而能够抑杀化脓菌,做到**的止痒、预防感染为目的,同时也能加强糖、脂肪和蛋白质代谢及体内废物排泄的功能,增强了白细胞的吞噬能力,从而能够调节神经的体液,达到**毛囊炎的目的。
临床效果显着:一体化中**熏蒸汽用于毛囊炎的治疗,不仅****,而且还能较好的防止毛囊炎的反复发作,做到治疗**。同时,中**熏蒸汽疗在治疗皮肤病的时候还能较好的消除疲劳、提高患者的免疫力,起到美容养颜的作用。
针对传统的治疗毛囊炎是不可取的:因为传统治疗毛囊炎就是用抗生素和激素**,而大量的口服这些抗生素的话只能暂时的缓解症状,并不能进行**的**,而且不断地会给肾脏的功能代谢增加负担,而且口服**是通过肾脏然后到达皮肤的黏膜,所以**性到达皮肤黏膜的作用就非常小,没有力量再杀死皮肤黏膜的金黄色葡萄球菌。
看了以上这么多内容想必大家都清楚的知道毛囊炎如何治疗效果好了吧,医师提醒大家治疗毛囊炎一定要去正规的皮肤病医院进行,这样才能**手术的效果,而且能够做到****的效果。
如果看完文章你还是有些不明白的地方,可以点击在线挂号,我们的医生将会为你详细解答哦。